Friday, April 24, 2026
  • Home
  • News
  • Business
  • Politics
  • Education
  • Entertainment
  • Metro
  • Health
  • E-paper
Salient Times Online
  • Home
  • News
  • Business
  • Politics
  • Education
  • Entertainment
  • Metro
  • Health
  • E-paper
No Result
View All Result
Salient Times Online
  • Home
  • News
  • Business
  • Politics
  • Education
  • Entertainment
  • Metro
  • Health
  • E-paper
No Result
View All Result
Salient Times Online
No Result
View All Result
Home Metro

Man left in excruciating pain after shoving toothbrush into his manhood during s3x

Salient Times Online by Salient Times Online
March 2, 2024
in Metro
0
Chinese scientists successfully clone two goats
585
SHARES
3.2k
VIEWS
Share on FacebookShare on Twitter

Man left in excruciating pain after shoving toothbrush into his manhood during s3x

 

You might also like

World’s largest condom maker to raise prices as Iran war affects supply chain

Troops rescue abducted Benue bus passengers — including UTME candidates

Police Confirm Rescue Of 13 Remaining Benue Kidnap Victims

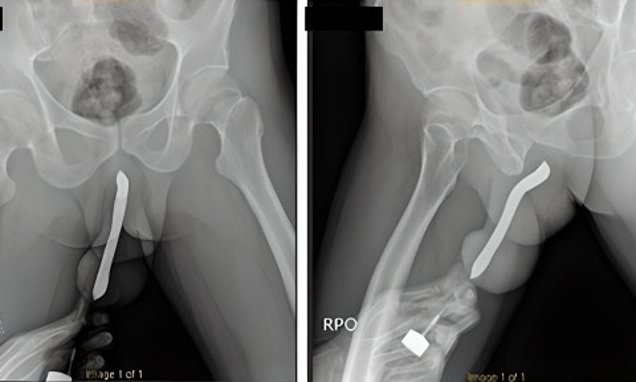
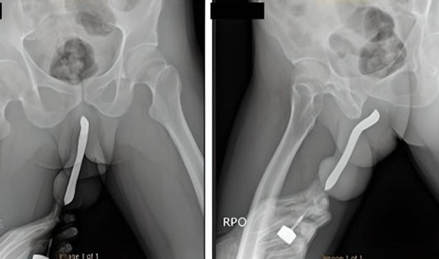
A man was left in excruciating pain after a toothbrush he shoved into his penis snapped during sex.

According to Doctors, the 43-year-old waited 12 hours before seeking medical attention for his eye-watering injury.

 

Asked why he had a toothbrush in his penis, the unnamed Indonesian man confessed to performing DIY surgery for his ‘sexual satisfaction’.

 

ADVERTISEMENT

Medics were told he first made a ‘small incision’ to insert toothbrushes in 2017.

Sharing details of the incident, doctors from the Soetomo General Academic Hospital in East Java told how the man required a two-hour op to repair his fractured penis.”

They wrote in the International Journal of Surgery Case Reports: ‘The patient sustained a penile injury during sexual intercourse in the woman-on-top position the night before.’

He had an ‘eggplant deformity,’ a tell-tale sign of penile fracture.

Medics said the man was discharged three days after surgery, reporting no issues.

He returned for a follow-up appointment one month later, where he was able to pass urine and claimed not to have any complications.

The ‘deformity’ had also vanished

Tags: Pain
Previous Post

Chinese scientists successfully clone two goats

Next Post

Why I almost committed suicide – Cynthia Morgan

Salient Times Online

Salient Times Online

Related Posts

World’s largest condom maker to raise prices as Iran war affects supply chain
Metro

World’s largest condom maker to raise prices as Iran war affects supply chain

by Salient Times Online
April 22, 2026
Police Confirm Rescue Of 13 Remaining Benue Kidnap Victims
Metro

Troops rescue abducted Benue bus passengers — including UTME candidates

by Salient Times Online
April 19, 2026
Police Confirm Rescue Of 13 Remaining Benue Kidnap Victims
Metro

Police Confirm Rescue Of 13 Remaining Benue Kidnap Victims

by Salient Times Online
April 19, 2026
Drunkard spent 8 years with metal chopstick stuck in his throat
Metro

Drunkard spent 8 years with metal chopstick stuck in his throat

by Salient Times Online
April 18, 2026
FG Flags Ogun, Lagos 31 Other States, 14,118 Communities for Severe Flooding in 2026
Metro

FG Flags Ogun, Lagos 31 Other States, 14,118 Communities for Severe Flooding in 2026

by Salient Times Online
April 16, 2026
Next Post
Why I almost committed suicide – Cynthia Morgan

Why I almost committed suicide – Cynthia Morgan

Salient Times Online © 2026. All Rights Reserved.

Published by Salient Times Media Services (RC: 2765133)
NUJ House, Iwe Irohin, Abeokuta, Ogun State, Nigeria.

Categories

  • Business
  • Celebrity Gist
  • Crime
  • Culture
  • Education
  • Entertainment
  • Fashion
  • Features
  • Food
  • Gist
  • Health
  • ICT
  • International
  • Interview
  • Lifestyle
  • Metro
  • National
  • News
  • Obituary
  • Opinion
  • Politics
  • Religion
  • Sponsored
  • Sports
  • Travel
  • World

Salient Times Online © 2026. All Rights Reserved. About Us | Contact Us | Privacy Policy | Home

No Result
View All Result
  • Home
  • News
  • Business
  • Politics
  • Education
  • Entertainment
  • Metro
  • Health
  • E-paper

Salient Times Online © 2026. All Rights Reserved. About Us | Contact Us | Privacy Policy | Home